午前:9:00~11:30 | 午後:15:00〜18:30
休診:日曜、水曜午後、祝日午後

096-293-5654

ドクターコラム

【右前肢撓尺骨骨折】

【右前肢撓尺骨骨折】 手術法:プレート固定による骨折整復手術

症例:ポメラニアン 1.6kg  雌 8ヶ月齢

来院時に撮影したレントゲンです。ポッキリと折れてます(=0=)

飼い主様が抱き上げているときに興奮して、とびおりて地面に着地した際にキャンと鳴き声をあげ、その時から右前足が着地できなくなってしまったとのことで来院しました。

 

手術中の写真です。

このような超小型犬の前足の骨折は最近増えてきており、手術しても治りが悪いワンちゃんもいます。飼い主様とご相談して、プレートによる骨折整復手術を行いました。

 

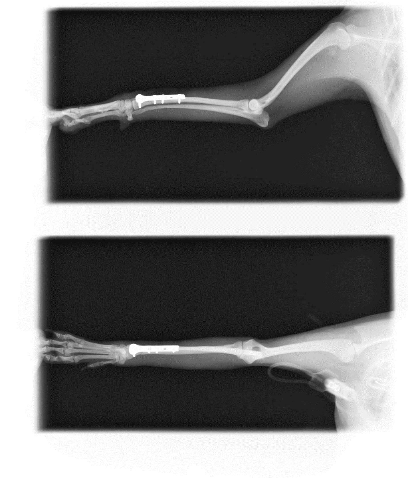
手術後のレントゲン写真

手術後2日ほどで歩行可能になり、術後1ヶ月くらいで昔と変わらずに元気いっぱいで散歩に出かけています。よかったですね(^0^)!