診療案内
‐骨折治療‐
動物の骨折に対して人と同じように外部からのギブス固定が行われることがあります。この方法は、骨折がヒビ割れ程度であったり、骨折部分のズレがほとんどなくて、安静可能な動物の場合に限られます。しかし、完全な骨折で骨折端のズレが大きい場合やバラバラに骨折した場合には、手術による固定が必要になります。人のように患部を安静にできずギブスが動いたり、動物自身でギブスを咬んだりしてしまうことが多く、何回もギブスを交換する必要があります。なにより目的とする固定が得られず肢が変形したまま治ったり、ひどい場合には骨が形成されずに骨折部で動くような、いわゆる偽関節になったりします。そのような理由から動物の骨折には手術による固定法が選択されることか多いのです。
当病院では骨折の外科的治療において積極的な治療を行っております。各部位の骨折を当院にて実際手術した症例を用いて説明致します。
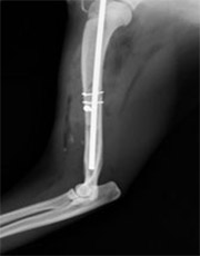
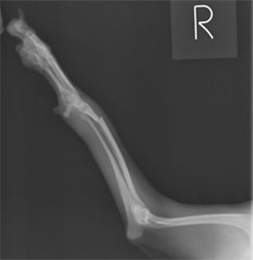
前肢橈尺骨骨折
1kg〜4kgの超小型犬が、室内でソファや抱っこの状態から飛び降りるくらいのことで骨折する場合が多いです。特に人気犬種のTプードルやチワワなどに多く認められます。
-

手術前
-

手術後
1.6kgのトイプードルの橈尺骨骨折です。プレートおよびスクリューを用いて固定、治療しました。
前肢上腕骨骨折
このタイプの骨折は猫、特に外に行く猫ちゃんに多く、高い所から飛び降りて着地に失敗することで骨折することが多いです。
-

手術前
-

手術後
この箇所の骨折は筋肉が多く、強度の高い固定が必要です。また今回みたいな斜骨折が多く認められます。髄内ピン、スクリュー、ワイヤーで治療を行いました。
後肢脛腓骨骨折
この箇所は犬、猫とも認められますが、あまり多くはみられません。交通事故が多くの原因ですが、後ろ足が引っかかって無理に引っ張った時に骨折することもたまにあります。
-

手術前
-

手術後
脛骨遠位側の骨折です。今回はプレート、スクリューで治療しましたが、創外固定などを使用する場合もあります。
後足大腿骨骨折
このタイプはそう簡単に骨折する場所ではありませんが、いちど骨折すると筋肉が一番多い場所なので、整復手術するのに手間がかかります。
-

手術前
-

手術後
ラブラドールの交通事故による左大腿骨骨折です。体重も重く、動きも激しい犬種なので、かなり強固な固定が必要でした。髄内ピン+プレート固定により治療を行いました。
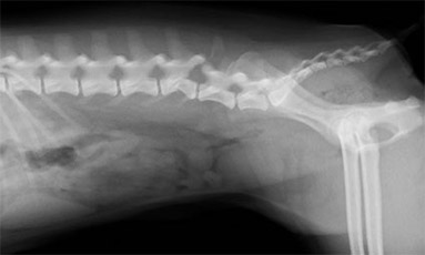
腰椎椎体骨折
-

手術前
-

手術後
柴犬の飛び出しによる交通事故により発生しました。プレートによる椎体固定を行い、経過良好です。
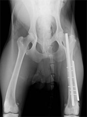
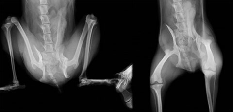
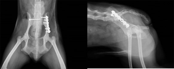
骨盤骨折
-

手術前:左腸骨体骨折および右仙腸関節脱臼が認められます。
-

手術後:プレートおよびラグスクリュー固定を行いました。
最新の骨折整復
Locking Compression Plate(SYNTHES社製)
LCP-Locking Compression Plateは、プレートにスクリューをロッキングさせて固定する新しいコンセプトのプレーティングシステムです。このプレートのスクリューホールには専用のロッキングヘッドスクリュー(LHS)用の溝が切ってあり、プレートとスクリューがロックされるように設計されています。従来のプレート(DCP、LC-DCP)はスクリューでプレートを骨に押し付ける摩擦力によって固定性を得ていましたが、LCPはLHSとプレートの角度安定性によって骨折部を固定するため、プレートを骨に圧迫する必要がありません。骨癒合に重要な骨膜の血流を温存することが可能です。正確なベンディング
を施さなくても整復位を維持したまま固定ができる・LHSを用いることによりスクリューのマイクロモーションを低減し、ルーズニングやバックアウトを防止する・従来型のプレートと比較して粗鬆骨における固定性の向上が期待できるなどの骨折治療に有利な点が多いシステムです。
上記の治療上の利点を考慮して導入しました。
LCPプレートで骨折手術を行った症例のレントゲン写真
橈尺骨の遠位端で骨折しており、通常のプレートやピンの整復では強度の不安があります。また、犬の性格が落ち着きない子なので、この症例にはこの手術は最適でした。
②チタン製プレート(ソフィアテック製)
生体材料と接触性骨形成するチタンは、骨とプレートが生体内において安定的な状態を保つ生体親和性に優れた金属です。チタンは軽くステンレスの約1/2程度の重量です。金属アレルギーの心配が少なく、他のどの金属より生体親和性に優れているため、骨となじみやすく、感染抵抗性が高いので、術後の感染リスクの低減が期待できます。
以上の特性から、特に1~2kgの超小型犬の橈尺骨の骨折の整復手術時に効果的です。従来のステンレスプレートを使用するとプレートの強度が強すぎて骨萎縮を起こすことがありますが、チタンプレートでは強度はステンレスより弱く、生体親和性が強いため超小型犬でも骨の修復がスムーズに行えます。
しかし、活動性の激しい犬や体重の重い犬ではその負重や衝撃に耐えきれないため不向きです。様々な種類のプレートを準備、使用することが骨折治療の上手くいくポイントとなります。
1.5kgのトイプードルの撓尺骨骨折です。骨幅が4mm弱で、通常のプレートでは骨萎縮する可能性があります。この症例はチタンプレートで整復手術しました。
骨萎縮した症例に体する同種皮質骨移植手術
-

骨癒合不全が認められます。
-

骨移植を行いました。
-

術後2週目のレントゲンです。骨癒合が進行し、負重もしっかりできるようになりました。
実際はほとんど骨が消失してレントゲンでは見えなくなる症例も存在します。一度骨癒合不全をおこすと、再手術でも完治するためにはとても長い治療が必要となります。骨折治療は早期に確実な手術が成功の鍵になるため、骨折した場合は適切な手術をうけることをおすすめします。
何か骨折に関してお困りの方がおりましたら、気兼ねなく当院にご連絡下さい。






