診療案内
‐前十字靭帯断裂症‐
前十字靭帯断裂症とは
膝を安定化させるために膝関節内にある前十字靭帯が外傷や激しい運動などにより断裂し、跛行を呈する疾患です。これが切れると足を着地させたときに膝が沈み込むようになり、歩行困難になります。症状が進むと骨関節炎や半月板損傷が起こり、痛みを伴うようになります。 跛行(はこう)を主訴に動物病院に来院する犬の実に30%以上がこの前十字靭帯断裂と言われております。若い時期にボール投げやフリスビーをしていて切れる事も稀にありますが、年齢を重ねると前十字靭帯自体が変性し、切れやすくなります。こういった慢性断裂(Cranial cruciate disease)には、遺伝的要因や免疫学的要因、形態学的要因、生体力学的要因などがあるとされています。
治 療
靭帯の部分断裂が疑われるが関節が安定している場合には内科的保存療法(体重や運動の管理、鎮痛剤)が主体になります。一方、部分断裂でも関節が不安定な場合や完全断裂の場合には手術が必要になります。
手術には多くの方法がありますが、当院では人工靭帯(糸)を用いた関節外法もしくはTPLO(脛骨高平部水平化骨切り術)と言われる方法で手術を行っています。
関節外法(ラテラルスーチャー法)は比較的安価で手術手技が容易です。しかし一方で糸の緩みが早期に起こるという合併症が多いため、これに代わる多くの手術が現在も開発研究されています。
脛骨の一部に穴をあけて人工靭帯(糸)と通し、外側の種子骨にひっかけて八の字にして結紮する。なれれば簡便な方法ですが、この糸が早期に切れると再発する。特に中〜大型犬ではこの手術法だけでは管理は難しいと言われています。
TPLO法は関節外法の時に必ず発生する骨関節炎の進行が低いといわれており、現在では前十字靭帯断裂に対する手術の第1選択法と言われています。TPLO法の原理は、脛骨の角度を調節することにより膝関節にかかる筋肉の力を変化させて前十字靭帯断裂により引き起こされる脛骨の前方変位を中和し、関節の動的な安定をもたらす手術方法です。
海外ではTPLO(脛骨高平部骨切り術)が最も多く行われている方法で、これらの手技は関節外法と比較し早期の回復が望まれ、その安定度や回復は関節外法よりも優れているとされています。当院ではTPLOを実施することが可能です。その犬の程度によりますが、TPLO法を実施した90%以上に症状の改善を認めています。
一般的にTPLO法は体重の重い大型犬の手術として認識されていますが、前十字靱帯断裂症は小型犬でも多く認められ、小型犬の前十字靱帯断裂症で一般的に行われている関節外制動術に比較し、良好な改善を認めています。

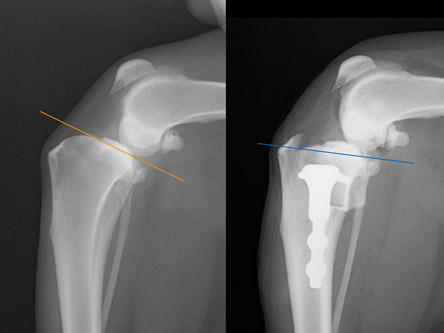
左:手術前
右:手術後 TPA(脛骨高平部の角度)の平坦化に注目

実際の手術写真
関節炎について
前十字靭帯が断裂した場合、程度は様々ですが徐々に関節炎が進行します。関節炎の治療は鎮痛剤の投与、関節サプリメントの投与などがよく行われております。これらはもちろん効果があるのですが、実は体重の管理がもっとも重要です。
ある報告では体重の減少は鎮痛剤の投与と同じくらい生活の質を改善したと言われています。逆に言うと、体重が重すぎる場合は関節炎の症状が悪化する可能性があります。体重過多の場合は減量プログラムをかかりつけの動物病院で作ってもらい、積極的に体重を落とす必要があります。
前十字靭帯の断裂を起こした50%前後の犬が逆の足でも断裂を起こします。これは数日から数年で起こることがありますので、同じ症状が出た時はすぐに動物病院を受診してください。

人ではスポーツ選手(特にサッカー選手)に多いですね!

犬はこんな感じの症状です。
実際の症例
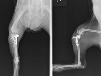
症例:10歳 ヨークシャーテリア 去勢オス
症状:3日前から急に左後足を挙上、跛行するとのことで来院。触診、レントゲン検査にて前十字靭帯断裂症が強く疑われました。

-
脛骨が前方に変位し、ファットパットサイン(関節炎)所見も認められます。
この症例はヨークシャーテリアですが7kg以上のかなりの肥満で、さらにクッシング症候郡も併発しており保存療法での改善は難しいと考えられました。
2週間は鎮痛剤および包帯とケージレストで経過観察を行いましたが改善ないためTPLO(脛骨高平部骨切り術)にて手術を行いました。

- まず半円形に骨を切断できる特殊なブレードを使用して脛骨の骨きりを行います。

- L字型の特殊プレートを使用して、角度を補正して骨きりした部分の固定を行います。

- 最後に膝蓋骨内方脱臼整復手術を同時に行い、手術終了としました。

-
術後レントゲンです。体重のかかる脛骨高平角が水平に近づきました。これなら体重をかけても痛みはほとんどでないと判断されます。
術後は2日目から負重可能となり、4日目からは歩行可能となりました。術後2週目には走れるようになり、その後の経過は良好でした。
この手術方法のメリットは術後回復が早く、関節炎が進行しにくいため痛みの治療が最小限で済むことです。デメリットは手術には術者の経験が必要であることと、器具が特殊で手術までに準備がかかることです。ただ、犬にとっては痛みや再発がないのが一番なので、これからはこの方法が日本でも主流になるでしょう。

