午前:9:00~11:30 | 午後:15:00〜18:30
休診:日曜、水曜午後、祝日午後

096-293-5654

診療案内

‐腫瘍外科手術‐

当病院では他病院様からの手術のご紹介も受けているため外科適応症例が多く、特に高度な技術、機械が必要な外科手術の症例の一部をご紹介致します。

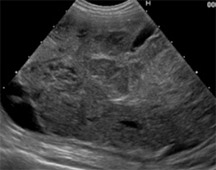
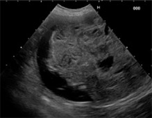
肝臓腫瘍

病名:肝細胞癌 手術法:内側右葉完全肝葉切除術
症例:11歳 避妊雌 MiX犬 12kg
主訴:1週間前から食欲の低下と嘔吐で来院されました。
検査:腹部超音波検査にて肝臓内側右葉に直径約12cm大の肝臓腫瘍が認められました。また、胆のうに重度の胆泥の貯留を認めました。

  • 腫瘍外科手術

  • 腫瘍外科手術

治療:飼い主様の希望により、肝臓腫瘍摘出手術と胆嚢切除手術行いました。肝臓腫瘍摘出は特に血管系の処理が重要で基本的な結紮技術はもちろん、超音波乳化吸引装置や血管シーリング装置などを駆使し血管を一つずつ処理して行きます。

  • 腫瘍外科手術

  • 腫瘍外科手術

  • 腫瘍外科手術

  • 腫瘍外科手術

肝臓腫瘍と胆嚢を摘出した写真です。肝臓腫瘍摘出には超音波乳化吸引装置を使用し、かなり安全に手術が可能でした。
胆嚢内にはゼリー状の内容物が詰まっていました。手術後は2日後から食欲も改善し、状態も改善しました。病理検査で肝細胞癌との診断でしたが、手術で切除しきれているとのことで、今後は無治療で経過観察中です。

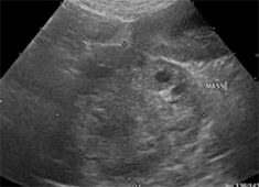
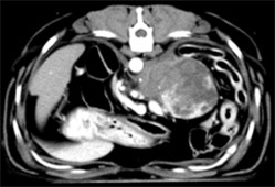
肝臓腫瘍

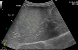
病名:褐色細胞腫 手術法:右副腎腫瘍摘出術
症例:9歳 Mix犬 避妊雌
主訴:1ヶ月前から急に元気がなくなり、失神することもあるとのことでかかりつけの病院で診察をうけ、検査にて腹腔内に腫瘍があるとのことでご紹介を受け当病院に来院されました。
検査:

  • 肝臓腫瘍

  • 肝臓腫瘍

腹部超音波検査およびCT検査にて右副腎に直径6cm大の腫瘍(赤矢印)が認められました。機能性副腎腫瘍が疑われ、飼い主様の希望により摘出手術を行いました。

  • 肝臓腫瘍

  • 肝臓腫瘍

  • 肝臓腫瘍

腹部超音波検査およびCT検査にて右副腎に直径6cm大の腫瘍(赤矢印)が認められました。機能性副腎腫瘍が疑われ、飼い主様の希望により摘出手術を行いました。

胃の悪性腫瘍

病名:胃腺癌 手術法:幽門側胃切除術(ビルロードⅠ変法)
症例:11歳 シーズー 避妊雌
主訴:1ヶ月前から急に痩せてきて、たびたび嘔吐することがあったとのことで来院されました。
検査:腹部超音波検査および上部消化管内視鏡検査にて胃の小湾に腫瘍が認められました。

  • 胃の悪性腫瘍

  • 胃の悪性腫瘍

手術:飼い主様に希望により、胃の亜全摘手術および再建手術(ビルロード法)を行いました。

  • 胃の悪性腫瘍

  • 胃の悪性腫瘍

  • 胃の悪性腫瘍

  • 胃の悪性腫瘍

手術では切除する胃の周囲の血管の処理と食物の流れを意識した胃と十二指腸の再建法が重要です。
今回は幸い、胃の噴門部まで腫瘍が浸潤していなかったため、噴門部温存のビルロード1変法という術式で再建手術を行いました。
病理検査では胃腺癌との診断でしたが、術後は嘔吐もなくなり食欲も改善しました。術後抗がん治療を行い途中経過良好でしたが、手術して約1年後に肺転移にて亡くなりました。胃の悪性腫瘍は進行が早く、発見時には手遅れのことも多々あります。日頃からの検診が犬や猫にとっても重要だと改めて確認しました。

泌尿器系の悪性腫瘍

病名:膀胱平滑筋肉腫
手術法:膀胱前立腺全切除および尿管腹壁包皮吻合術
症例:10歳 ゴールデンレトリバー 雄
症状:1ヶ月前から頻尿、血尿が認められ、最近は元気食欲がなくなってきたとのことで近医を受診、検査にて膀胱にかなり大きい腫瘍が見られるとのことでご紹介を受け来院されました。
検査:腹部超音波検査にて膀胱内を占拠する巨大腫瘍が認められました。

  • 泌尿器系の悪性腫瘍

  • 泌尿器系の悪性腫瘍

飼い主様の希望により、膀胱腫瘍切除ため膀胱全摘出および尿管の転移植手術を行いました。

  • 泌尿器系の悪性腫瘍

    取り出した膀胱の腫瘍です。

  • 泌尿器系の悪性腫瘍

  • 泌尿器系の悪性腫瘍

    膀胱および前立腺も切除しました。

  • 泌尿器系の悪性腫瘍

  • 泌尿器系の悪性腫瘍

包皮粘膜に尿管を開口しました。
術後は包皮から排尿できるようになりました。膀胱の腫瘍は平滑筋肉腫と言われる膀胱の腫瘍の種類にしては珍しい腫瘍でしたが、完全に取りきれているとのことでした。現在術後1年以上経ちますが経過良好で過ごしています。

顎の腫瘍

病名:上顎の扁平上皮癌  手術法:左上顎および頬骨切除手術
症例:チワワ 8歳齢 避妊雌
主訴:1ヶ月前から左上顎の第1〜2後臼歯にかけて始めは小さい腫瘤ができていましたが、急激に大きくなり近医を受診されました。そこで上顎の悪性腫瘍を疑うとのことで当院に紹介で来院されました。当病院初診時、腫瘍はすでにかなり大きくなっており、左眼窩の近くおよび頬骨まで浸潤が認められました。

  • 顎の腫瘍

  • 顎の腫瘍

上顎の奥の腫瘍は非常に手術が困難な場所ですが、飼い主様の強い希望により、腫瘍切除手術を行いました。

  • 顎の腫瘍

  • 顎の腫瘍

手術摘出後は2日目から食事可能となり、1週間程で退院としました。腫瘍の病理組織検査では扁平上皮癌との診断でしたが、マージンクリーンで取りきれており、現在術後1年以上経ちますが再発もなく経過良好です。
飼い主様が一時は諦めかけていただけに、無事手術で元気になってほんとに良かったと思いました。

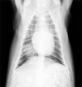
肺の腫瘍

病名:肺乳頭状腺癌  手術法:肋間アプローチによる右肺後葉摘出手術
症例:Mダックス 10歳 去勢雄
主訴:1ヶ月前からたびたび咳が認められ、回数が増えてきたために近医を受診、肺のレントゲン検査にて、右肺後葉に腫瘍を疑う陰があるとのことで当病院にご紹介で来院されました。

  • 肺の腫瘍

  • 骨盤骨折

レントゲンにて右肺後葉に腫瘍性病変を確認、咳に原因は腫瘍によるものと判断し、腫瘍を含む右肺後葉の全摘出手術を行いました。

  • 肺の腫瘍

  • 骨盤骨折

腫瘍は右肺後葉の中央部にあり、他の肺葉には転移はなさそうでした。通常通り肺葉切除を行い、腫瘍を完全切除しました。

  • 肺の腫瘍

摘出した肺腫瘍です。
術後は2日目には食欲も改善、3日目には集中治療室(ICU室)から出ることができ、術後8日目に退院としました。病理組織検査では肺乳頭状腺癌との診断でした。術後1ヶ月目から補助的化学療法(抗がん治療)を3ヶ月間行い、幸い1年経過した今でも再発なく元気で暮らしています。肺などの内部臓器の腫瘍は発見が遅くなりやすく、手術自体できない症例も実際にいるため、日頃からの健康診断や少しの異常もしっかりチェックしていく必要があると感じました。