午前:9:00~11:30 | 午後:15:00〜18:30
休診:日曜、水曜午後、祝日午後

096-293-5654

ドクターコラム

犬の胆のう粘液嚢腫による腹膜炎

犬の胆のう粘液嚢腫による腹膜炎

手術法:胆嚢摘出手術 症例:Mダックス 8歳齢 去勢雄

症状:2日前から食欲がなくなり、昨日から嘔吐が何度も認められるとのことで来院されました。診察時、口腔粘膜に黄疸が認められ、検査にて胆のう内にゼリー状の物質が貯まる胆のう粘液のう腫と言われる胆のうの病気にかかっていました。すでに胆管閉塞は起こしており、胆のうの一部が破けており早急な手術が必要でした。飼い主様と相談しまして、胆のう切除、および胆管洗浄の手術を行いました。

 

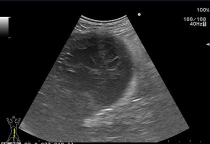
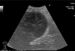
超音波検査:胆のう粘液嚢腫および周囲の腹膜炎が認められます。

破裂した胆のうを確認しました。

摘出した胆のう内容物です、ゼリーのようにドロドロしています。

 

胆のうを切除し、胆管内の洗浄を行いました。胆管の再疎通は問題ありませんでした。 術後は2日ほどで元気、食欲とも改善し、経過は良好です。肝臓や胆のうの病気の主な原因はやはり食事ですね。ジャーキー類などのおやつや缶詰ばかり食べているワンちゃんに多いです(t0t)みなさんのわんちゃんも食生活にはきをつけましょうね(^o^)!