午前:9:00~11:30 | 午後:15:00〜18:30
休診:日曜、水曜午後、祝日午後

096-293-5654

ドクターコラム

犬の門脈体循環シャント 手術法:シャント血管結紮法

症例:2歳 マルチーズMIX 雌
主訴:1歳になったころから食欲が低下してきており、最近は嘔吐が認められるとのことで来院されました。正常なわんちゃんよりも少しやせており元気もありませんでした。
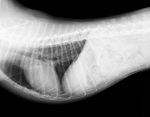
飼い主様のご希望で検査を行ったところ、肝酵素の上昇とレントゲンにて肝臓の大きさが小さく、小肝症と診断しました。追加検査にて測定した総胆汁酸が食前、食後ともに正常値をはるかに上回る数値だったため先天性疾患である門脈体循環シャントといわれる病気が強く疑われました。

小肝症
この病気は先天的または後天的な原因によって門脈と呼ばれる血管と大静脈血管との間に異常な連絡路(シャント)が生じることで、アンモニアなどの本来肝臓で解毒されるはずの毒素が体中を循環し障害を引き起こす病気です。

根本治療として開腹手術にてシャント血管を見つけ血管を閉じる手術が必要です。 飼い主様はできる限りのことをしたいとのことでしたので、手術を行いました。
まず開腹下にて門脈造影検査と言われる特殊な血管造影検査を行い、シャント血管とレントゲン検査にて探します。今回検査にてシャント血管が左胃静脈-左横隔膜静脈を介した門脈-後大静脈シャントであることが判明しました。

左胃静脈-左横隔膜静脈を介した門脈-後大静脈シャント

実際のシャント血管です。

シャント血管を確認後、絹糸にて仮遮断し、門脈圧の過剰な上昇がないことを門脈圧測定にて確認後、完全結紮を行いました。

完全結紮後の門脈造影検査:シャント血管の遮断が確認され、血液が完全に肝臓にいっていることが確認されました。

術後は経過良好で、術後5目には退院しました。元気、食欲とも以前よりも良くなり、術後2ヶ月目の総胆汁酸の検査でも正常値に改善したため完治と判断しました。 この病気は先天的な病気ですが気付かれずに進行し、若くして肝硬変になってしまう恐ろしい病気です。予防としては1歳前後の時から健康診断を行い早めに病気を発見してあげることですね。このわんちゃんも元気になってよかったですね(^0^)!