猫の横隔膜ヘルニア
症例:猫 3歳 未去勢雄
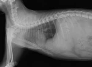
主訴:車にぶつかったとのことで来院されました。来院時、呼吸が早く、開口呼吸をしていました。レントゲン検査にて横隔膜ヘルニアが確認されました。

横隔膜ラインの不整と肝臓の変位が確認されました。
早急に手術により整復したほうが助かる可能性が高く、飼い主様もすぐに助けて欲しいとのことで、横隔膜ヘルニア整復手術を行いました。

横隔膜ヘルニアの穴も確認でき、肋骨と筋膜が剥離していました。

ヘルニア孔を縫合、整復し、無事手術が成功しました。

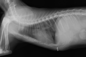
術後レントゲンです。心臓と横隔膜の位置が正常に戻り、呼吸状態も落ち着きました。術後5日目には退院となり、現在術後半年以上経ちますが、元気で過ごしています。横隔膜ヘルニアは交通事故などの外傷で起こすことがほとんどで、年齢とともに自然に発生することはまずありません。外出する猫ちゃんに多く、横隔膜ヘルニアになってしまったら呼吸状態が急激に悪くなり、死亡することが多いため早急な手術が必要です。予防策としては去勢、避妊などを早期に行い、外出を極力させないようにするしかありません。この猫ちゃんが助かってほんとによかったです(^o^)!
術後レントゲンです。心臓と横隔膜の位置が正常に戻り、呼吸状態も落ち着きました。術後5日目には退院となり、現在術後半年以上経ちますが、元気で過ごしています。横隔膜ヘルニアは交通事故などの外傷で起こすことがほとんどで、年齢とともに自然に発生することはまずありません。外出する猫ちゃんに多く、横隔膜ヘルニアになってしまったら呼吸状態が急激に悪くなり、死亡することが多いため早急な手術が必要です。予防策としては去勢、避妊などを早期に行い、外出を極力させないようにするしかありません。この猫ちゃんが助かってほんとによかったです(^o^)!

