午前:9:00~11:30 | 午後:15:00〜18:30
休診:日曜、水曜午後、祝日午後

096-293-5654

ドクターコラム

犬の前十字靭帯断裂症 手術法:脛骨高平部水平化骨きり術(TPLO法)

症例:10歳 ヨークシャーテリア 去勢オス
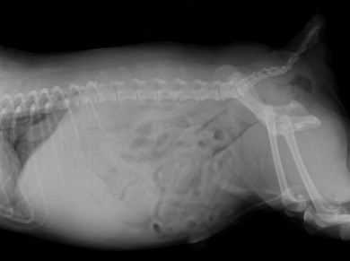
症状:3日前から急に右後足を挙上、跛行するとのことで来院。触診、レントゲン検査にて前十字靭帯断裂症が強く疑われました。

脛骨が前方に変位し、ファットパットサイン(関節炎)所見も認められます。
また、元々、膝蓋骨内方脱臼症もあり、それにより前十字靭帯に負荷がかかったものと思われました。通常は体重の軽い小型犬なら包帯などでも改善することがありますが、この症例はヨークシャーテリアですが7kg以上のかなりの肥満で、さらにクッシング症候郡も併発しており保存療法での改善は難しいと考えられました。

腹部レントゲンにて腹腔内脂肪および肝臓の腫大が認められます。
2週間は鎮痛剤および包帯とケージレストで経過観察を行いましたが改善ないため手術を行いました。
手術方法は、従来のナイロン糸と使用した関節外法がありますが、この方法では術後の関節炎の進行が止まらないため痛みが継続することと、糸が切れて再発する可能性があります。大人しく、体重の軽い犬なら大丈夫ですが、この症例は年齢の割には元気に動き回り体重も重いため、従来の方法では再発する危険性があります。

そのため現在では脛骨高平部水平化骨きり術(以下TPLO法)と言われる方法が主流になっています。この方法の原理は脛骨の角度を調節することにより膝関節にかかる筋肉の力を変化させて前十字靭帯断裂により引き起こされる脛骨の前方変位を中和し、関節の動的な安定をもたらす手術方法です。海外ではTPLO(脛骨高平部骨切り術)が最も多く行われている方法で、これらの手技は関節外法と比較し早期の回復が望まれ、その安定度や回復は関節外法よりも優れているとされています。

当院ではTPLOを実施することが可能です。その犬の程度によりますが、TPLO法を実施した90%以上に症状の改善を認めています。一般的にTPLO法は体重の重い大型犬の手術として認識されていますが、前十字靱帯断裂症は小型犬でも多く認められ、小型犬の前十字靱帯断裂症で一般的に行われている関節外制動術に比較し、良好な改善を認めています。

そのため今回のわんちゃんもTPLO法で手術を行いました。

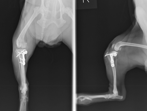
まず半円形に骨を切断できる特殊なブレードを使用して脛骨の骨きりを行います。

 L字型の特殊プレートを使用して、角度を補正して骨きりした部分の固定を行います。

 最後に膝蓋骨内方脱臼整復手術を同時に行い、手術終了としました。

術後レントゲンです。体重のかかる脛骨高平角が水平に近づきました。これなら体重をかけても痛みはほとんどでないと判断されます。

術後は2日目から負重可能となり、4日目からは歩行可能となりました。術後2週目には走れるようになり、経過は良好でした。
この手術方法のメリットは術後回復が早く、関節炎が進行しにくいため痛みの治療が最小限で済むことです。デメリットは手術には術者の経験が必要であることと、器具が特殊で手術までに準備がかかることです。ただ、犬にとっては痛みや再発がないのが一番なので、これからはこの方法が日本でも主流になるでしょう。