午前:9:00~11:30 | 午後:15:00〜18:30
休診:日曜、水曜午後、祝日午後

096-293-5654

ドクターコラム

猫の大腿骨粉砕骨折

症例:去勢雄 1歳6ヶ月 雑種猫

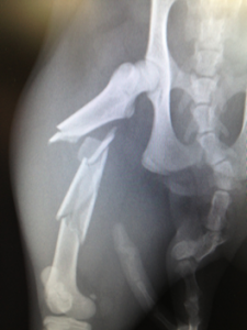
主訴:右後肢を完全に着かないとのことでかかりつけの病院を受診、レントゲン検査にて右後肢大腿骨の完全粉砕骨折と診断され、当病院を紹介され来院されました。 当病院のレントゲン検査でも右大腿骨粉砕骨折が確認されたため、飼い主様にプレートによる固定手術をおすすめし、希望されたため手術行いました。

 

骨片が5つ以上あり、複雑骨折と診断

骨片が5つ以上あり、複雑骨折と診断

 

骨折を確認

骨折を確認

 

猫の大腿骨粉砕骨折

リコンストラクションプレート、ラグスクリューを使用し固定しました。

 

術後レントゲン しっかり固定されています。

 

術後は4日程で歩行可能となり、術後2週目で抜糸、完全に歩行も改善し完治としました。外に行く猫ちゃんは交通事故など多いためなかなか予防は難しいですが、手術して完全に良くなるのを見るとほんと嬉しくなります。この猫ちゃんもよくなってよかったですね(^0^)!